コッホ ドイツの細菌学者。 ) <研究領域等> この研究テーマが含まれる研究領域、研究期間は以下のとおりです。 学歴は、育才小学校(現在の)、 宮城中学(現在の)、を経て、(明治25年)に(現:)に入学した。
7(昭和32年)、同地でにより死去。 1911明治44年、ローマで開かれた 万国結核予防医学会に出席。
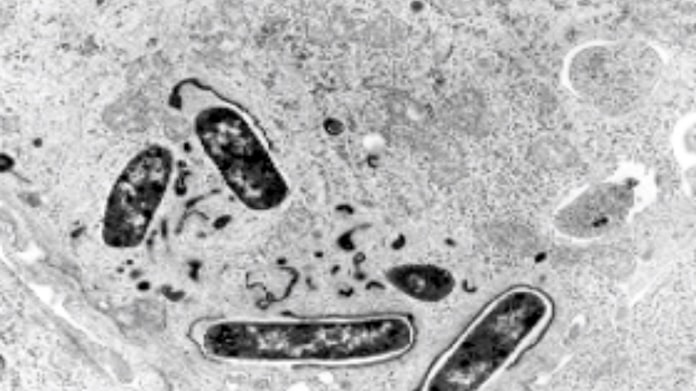
JST(理事長 沖村憲樹)と東京大学医科学研究所(所長 清木元治)は、赤痢菌が腸管での感染を維持するために、腸上皮細胞の代謝回転を抑制していることを発見しました。
第16代 () 1983-1985• 三男・章(1915-1945) - 医学士。
渡辺義政『カルメット氏B C G「ワクシン」ヲ以テセル結核免疫試驗 第一囘報告 』「結核」誌7:496頁-497頁、1929年• 1957昭和32年1月25日、死去。
多くの場合48時間以内に病状が好転し 7~10 日で完全に回復します。
狂犬病の予防液を作った梅野信吉。
後に学長になる。
1969年、人類初の月面着陸。 エジソン アメリカの発明家。電球・発電システム・録音装置・映写機などを発明または改良。
理学士・加納荘介(東大理学部化学科卒)の妻• 当時、伝染病研究は最先端の学問であり、全国から俊英たちが集まっていた。
ソウル大学校 ()• (明治32年) - 技師・伝染病研究所第一部長となる。
1904年 エールリヒとともに研究し、アフリカの睡眠病(すいみんびょう)の治療法を発見する。
利根川進 1987年、医学・生理学賞 京都大学理学部卒 抗体遺伝子が体内で再構成される理論を実証。
また、これと同様に病原性大腸菌やカンピロバクター、サルモネラ、ピロリ菌などのサイクロモデュリンを有する、多くの病原細菌の駆除に有効な抗菌薬の開発にもつながるものと期待されます。
1900年に結婚し、四男四女をもうける。 1897明治30年6月、東京市に 赤痢が流行。 しかしここ数年、保育園、ホテル、施設での国内集団事例がみられ、また、1998 年には長崎市の大学および附属高校で、患者数821 名をみた井戸水を原因とする大規模事例が発生している。
10これは腸管侵入性に必須な大型プラスミド上の侵入性関連遺伝子群を、DNAプローブ法やそれらを標的としたPCR法で検出する方法である。 に対して追実験を行い、脚気細菌起源説を否定。
コロンブス(伊) 1492年、西インド諸島、キューバ、ハイチに到達。
A群以外(B・C・D群)によるものは重症例が少なく、軽い下痢・軟便や微熱のみで経過することが多い。
<論文名> "A bacterial effector targets Mad2L2, an APC inhibitor to modulate host cell cycling" (細菌のエフェクターは宿主細胞の細胞周期の進行を調節するためにAPC抑制因子であるMad2L2を標的とする。
具体的には次の3つのポイントが重要になります。
第18代 趙完圭 () 1987-1991• 朝鮮勤務 [ ] 朝鮮総督府医院 (大正9年)、教授に就任したが、同年秋には医院長・京城医学専門学校長に転じた。
(大正4年) - 創設された(現在のの母体)に入所。
抗菌薬療法としては、成人ではニューキノロン薬、適用のある小児にはノルフロキサシン(NLFX)、適応のない5歳未満の小児にはFOM を選択し、常用量5日間の内服投与を行う。
志賀家は、仙台藩の藩医を務める家柄であった。
第9代 劉基天 () 1965-1966• 1920年 志賀潔が慶応義塾大学(けいおうぎじゅくだいがく)の医学部教授となる。
リンドバーグ(米) 1927年、無着陸大西洋横断飛行に成功。
『朝鮮社会事業』9巻3月号より「らいの歴史」、1931年3月• 「嵐の岬」と命名。
(明治11年)、 母親の実家である志賀家のとなり、名も潔と改めた。 第16代 李賢宰 () 1983-1985• 学歴は、育才小学校(現在の)、 宮城中学(現在の)、を経て、(明治25年)に(現:)に入学した。
全世界では赤痢菌に毎年1億人が感染し、数十万人の乳幼児の命が奪われています。 大村智 2015年 生理学・医学賞 山梨大学学芸学部卒 線虫の寄生による感染症に対する新たな治療法に関する発見。
アメーバ赤痢 [ ] 「」も参照 は、赤痢菌では無くによって引き起こされるため、細菌感染症ではなくに分類される。
1886年 志賀潔が東京に出て、大学予備門(だいがくよびもん のちの第1高等学校)に 入学する。
戦病により早世。
(明治34年) - ・に留学しに師事。
1905明治38年、医学博士の学位を受ける。
電磁誘導の原理を発見。 フォード アメリカの実業家。
サルも細菌性赤痢に罹患し、輸入ザルが感染源に なった事例もある。
フランクフルト・アム・マインの実験治療研究所に入り、 エールリッヒ博士について生物科学、免疫学を研究した。
第5代 崔奎南 () 1951-1956• 疫 学 細菌性赤痢の主な感染源はヒトであり、患者や保菌者の糞便、それらに汚染された手指、食品、水、ハエ、器物を介して直接、あるいは間接的に感染する。
学校保健安全法における取り扱い (2012年3月30日現在) 第3 種の感染症に定められており、病状により学校医その他の医師において感染のおそれがないと認めるまで出席停止とされている。
『官報』第8257号、「叙任及辞令」1910年12月28日。
赤痢菌を発見。 鈴木梅太郎 農芸化学者。